黃茂雄
高雄醫學大學醫學系教授、高雄醫學大學附設醫院復健部主治醫師
⁌【文章內容】⁍
摘要
下背痛起因可源於數種不同下背結構上之變化所導致,包括胸腰椎的骨骼、關節、椎間盤、肌肉或神經系統病變,如腰椎間盤突出、腰椎間盤退化、脊椎小面關節脫位或退化、腰椎退化、胸腰脊椎壓迫性骨折、腰脊狹窄、薦髂關節病變或損傷。
下背痛之診斷一般會利用觸診,即所謂的物理學檢查,看看哪些部位有疼痛壓痛點,按壓時是否有轉移痛或誘發神經酸麻之現象,去判斷病變的可能部位,再配合影像檢查,就可診斷主要病變區。若屬神經性疼痛,則需藉助神經生理檢查來進一步佐證其嚴重度與更精確病因定位。
下背痛之治療一般會先以口服或局部注射消炎止痛劑、針灸或物理治療來緩解緊繃之背肌,消除其疼痛症狀。但是如果是結構性變化所引起之下背痛,則應以物理機械性方式導正脊椎之結構與肌肉張力,方能有效改善臨床症狀。若在結構上已作適當處置後,病人仍有持續下背疼痛的現象,則需進一步考慮氣血循環不足或骨骼肌肉等結構強度不足的因素。復健治療在此層面上可提供進一步的療效。
總結:下背痛之診治首先需有詳細之病因分析。導正脊椎結構與肌張力上之異常,進而調整能量失衡並強化結構上之失調,必可獲得一定之療效。
關鍵詞: 下背痛、運動治療、復健。
一、前言
下背痛是指位於肋骨下緣至臀部下緣之間的下背部疼痛。據流行病學統計結果每個人下背疼痛之終身罹患機率約 84%,再發率 70%,其中 20% 可能造成慢性疼痛,而有 10% 可能造成失能結果 (Hoy, 2012:2028-2037)。
下背痛起因可源於數種不同的下背結構上之變化所導致,包括胸腰椎的骨骼、關節、椎間盤、肌肉或神經系統病變,如腰椎間盤突出、腰椎間盤退化、脊椎小面關節脫位或退化、腰椎退化、胸腰脊椎壓迫性骨折、腰脊狹窄、薦髂關節病變或損傷。其他特殊病因如癌症、骨折、感染、僵直性脊椎炎、馬尾症候群或肌肉扭傷等。依罹患時間長短可分為急性下背痛 (<6週)、亞急性下背痛 (6~12週) 與慢性下背痛 (>12週),一般急性下背痛 90% 在 6 週內可緩解,若失能性疼痛持續 6 週以上則需團隊性介入治療 (Swain, 2014:447)。
二、常見下背痛病因與臨床症狀特徵
(一) 腰椎間盤突出
此症狀較常發生於年輕的患者,常因腰椎彎腰負重過度造成椎間盤上下壓力增加而往後膨出甚至突出壓迫到椎間神經根而常併有下肢疼痛酸麻現象,尤其在咳嗽、打噴嚏或彎腰提重物等狀況下,脊椎受壓增加之瞬間容易誘發坐骨神經痛的症狀 (Song, 2017:60558-60567; Tonosu, 2016: e0166031)。(參見圖 1)

圖 1 第三四腰椎間盤凸出(如箭頭所示)
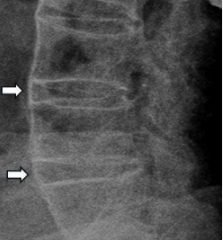
(二) 腰椎退化性脊椎炎
由於退化性脊椎炎容易造成局部血液循環之下降,常於長時休息一段時間後,有下背酸痛的現象,尤其年長者在清晨或久坐後症狀較為明顯,但經過短時間之活動後症狀即逐漸減輕或消除 (Teraguchi, 2014:104-110; Peng, 2006:583-587)。(參見圖 2)

圖 2 第四五腰椎退化(如箭頭所示)
(三) 腰椎滑脫
此症狀主要是固定脊椎上下節之小面關節鬆動無法有效穩定脊柱,因此當脊椎上下節逐漸脫位而壓迫到脊椎間神經根而有坐骨神經痛的症狀。在久站、久走或上半身前彎坐姿一段時間後容易誘發症狀 (Wiltse, 1976: 23-29; $\text{Meyerd-ing, 1956:566-591; Fitzgerald, 1976:184-192; Liu, 2017: 41-47; Smorgick, 2014:e260-e264)。(參見圖 3)

圖 3 第四、五節腰椎滑脫(如箭頭所示)
(四) 薦髂關節痛
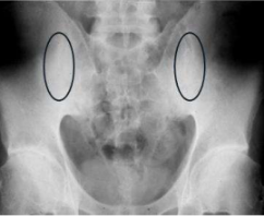
此症狀最常於僵直性脊椎炎病人,或跌坐造成兩側薦髂關節頃斜受力不均,而造成兩側薦髂關節不等高甚至骨盤不對稱現象,在長時間步行後更容易引發其不對稱之薦髂關節疼痛現象,但不致於引起坐骨神經痛的症狀。(參見圖 4)

圖 4 雙側之薦髂關節炎(如圖圈所示)
(五) 僵直性脊椎炎
僵直性脊椎炎為基因體質性之脊椎縱韌帶發炎鈣化性之脊椎變化。一般常為 20 歲左右發病,臨床上表現由薦髂關節開始有疼痛現象,由 X光片上顯示薦髂關節之發炎性病變(參見圖 4),隨病理發展逐漸往腰椎、胸椎及頸椎漫延,因脊椎前縱韌帶之變化速度比後縱韌帶快,導致頸胸脊椎逐漸呈現前彎駝背現象。(參見圖 5)

圖5 僵直性脊椎炎前縱韌帶之鈣化(如箭頭所示)
(六) 脊椎壓迫性骨折
常見於 50 歲以上高齡者,隨著骨質疏鬆機會增加,容易在第十一胸椎至第二腰椎間,因過度受力或跌坐後造成壓迫性骨折。(參見圖 6) 在壓迫性骨折發生後一至二個月內會有局部骨折之疼痛,此後隨著壓迫性骨折之脊椎前彎或側彎造成背部肌肉協調不良性疼痛,尤其在坐臥下改變姿勢時症狀特別明顯。此外,位於胸椎之壓迫性骨折容易壓迫肋骨下神經而有胸腰部緊繃麻痛的現象。

圖6 胸椎壓迫性骨折(如箭頭所示))
(七) 脊椎側彎
脊椎側彎除了因上述脊椎壓迫性骨折造成外,常見為先天性脊椎側彎。隨著年紀增長肌肉彈性逐漸減弱,於側彎脊椎凸面之背肌容易造成長期過度伸張性緊繃性疼痛,尤其在維持特定姿勢下一段時間後會表現肌肉疲勞性疼痛。反之在凹面部位因脊椎容易造成骨質增生,造成骨刺壓迫腰椎神經根引起坐骨神經痛的症狀 (Wang, 2012:1586-1592; Kuklo, 2002:2013- 2020;Sponseller, 2012:1138- 1141; Smorgick, 2013:289-292)。(參見圖 7)

圖7 胸腰椎側彎(凸、凹部位如標示)
(八) 癌症轉移引起下背痛
一般轉移性之下背痛,屬於非機械性之下背痛,其症狀隨著轉移部位之嚴重性而加重,與身體軀幹之姿勢較無相關性。對一般口服止痛藥或物理治療之反應較不明顯 (Maccauro, 2011:107969;Leri, 2018:121-127)。(參見圖 8)

圖8 胸椎之癌症轉移變化(如圈區所示)
一般而言,下背痛併有腿部或足部之麻痺或無力現象,表示位於腰椎之神經根可能受到狹擠或壓迫。下背痛合併坐骨神經痛最常見的原因主要是腰椎椎間盤突出,腰椎間孔狹窄。若是腰椎椎間盤突出,當咳嗽打噴嚏或需要腹腰部用力時坐骨神經壓迫症狀明顯加劇,軀幹前彎或長時間久坐均能加重其症狀。腰椎間孔狹窄則隨著活動中任何動作姿態,可引起腰椎間孔變小者將誘發神經根壓迫症狀。
三、下背痛之診斷
(一) 整體觀察
一般病人活動會採取可減緩下背痛之姿勢,由病人之肢體活動及步態姿勢即可作為其疼痛之嚴重性與部位之重要參考。
(二) 影像檢查
藉由影像檢查進一步了解其出問題的脊椎部位在胸腰脊柱那幾節及何種病變,如胸腰椎X-光片即可判知是否有退化、滑脫、側彎或壓迫性骨折等變化之部位及嚴重度,但判斷過程中,對影像之解析非常重要,因X光片不但可告知脊柱骨頭的變化,更可間接判斷其他軟組織之問題 ($Song, 2017: 60558-60567)。對於椎間盤或脊椎內脊髓之變化,那就需透過核磁共振影像 (MRI) 之判斷了 (Peng, 2006:583-587)。
(三) 物理檢查
一般會利用觸診,即所謂的物理學檢查,看看哪些部位有疼痛壓痛點,按壓時是否有轉移痛或誘發神經麻痛之現象,加上阻力測試及伸拉測試去判斷病變的部位,再配合影像檢查,就可診斷主要病變區。若屬神經性疼痛,則需藉助神經生理檢查來進一步佐證其嚴重度與更精確部位。
四、下背痛之治療
下背痛之治療,在病因初步釐清後,會先以改善病人當下症狀為主,常以口服消炎止痛劑、肌肉鬆弛劑、局部注射消炎止痛劑、或物理治療來緩解緊繃之背肌,消除因肌肉緊繃所造成疼痛之惡性循環症狀。但如果是結構性變化所引起之下背痛,則應進一步以物理機械性方式導正脊椎之結構與肌肉張力,方能有效改善臨床症狀,如脊椎整復、脊椎牽引加上伸展運動。但若要進一步防止下背痛的再發,則脊椎結構相關之肌力強化運動更是不可或缺。
一套良好的客制化運動課程可協助下背痛症狀之快速緩解,同時可預防下背痛的再發。Lam et al. (Lam, 2018:476-490) 等人藉由Mc Kenzie (Szulc, 2015:2918-32) 之下背痛運動治療模式,許多機械性下背疼痛 70% 以上的慢性下背痛病人可或得舒緩。Seo et al. 等之研究顯示Gyrotonic expansion system exercise之節律性、流動性之運動療法可增加下背肌耐力,提升下背活動度,及腰椎穩定性降低跌倒之危險性 (Seo, 2019:129-133)。對罹患薦髂關節炎之下背痛病人Nejati et al. 等人研究將運動治療結合整脊治療結果顯示可獲得更佳療效 (Nejati, 2019:53-61),這也是整合性療效之實証。人們對運動之順從度首先需建立其信心排除對運動之心理障礙是相當重要的,對有特殊病因如癌症或有心臟血管疾病者之運動更應小心規劃 (Riebe, 2018:184-188; Riebe, 2018:226-245)。傳統瑜珈和太極拳運動可藉由柔軟度之增加,張力之下降亦可協助下背痛之緩解。為了提升病人運動之意願針對下背痛的患者,剛開始適合選擇較低衝擊性之運動方式較不易誘發疼痛而可提升運動動機,如走路、游泳和騎腳踏車。較強的腹背肌及腿部肌肉漸進式強度的肌力強化訓練 (Tan, 2015:147-150)。肌力強化訓練雖然有助於維持其良好的姿態及身體生物力學穩定,但較適合於急性疼痛緩解後進行,以避免造成進一步傷害。
若在結構上已作適當處置後,病人仍有持續下背疼痛的現象,則需進一步考慮氣血循環不足的因素。在復健治療中可依病變部位之大小深淺利用各種深淺不同之熱療促進局部循環加上深淺不同之電療舒緩組織之張力降低相關肌肉之緊繃性。此外亦可利用物理療具如低能雷射或脈沖式超音波來促進損傷組織之再生修復。除了上述之治療原則外,一些日常活動若能注意動作姿勢細節亦可避免症狀之惡化或再發。以下提供一些預防下背痛的常用姿勢。
五、預防下背痛的日常姿勢
- 下床: 採側躺姿勢下,利用上肢使力撐起身體坐起,稍停 5-10 秒後再下床。
- 站起: 避免直接站起,將兩腳跟稍往後移,彎腰保持軀幹重心穩定後站起。
- 盥洗: 站姿、刷牙、刮鬍子時,宜以另一手置洗手台面上支撐上半身重。
- 彎腰洗臉或化妝台: 上半身前傾時以另一手支撐身體重心。
- 泡浴缸或坐姿洗澡: 下背宜有支撐。
- 穿褲子: 以坐有靠背椅子或站立靠牆姿勢穿褲。
- 坐姿: 下背 (腰帶部位) 需有支撐,上半身保直挺立,避免前傾姿勢打電腦,需近看螢幕時,椅子宜盡量前移以保持下背支撐。
- 拖地: 以前推姿勢上半身挺立,避免用後拉方式拖地以減輕下背受力。
- 久站工作: 一腳墊高,使骨盤維持水平,上半身挺立。
- 蹲姿種花: 以一膝及另一腳著地之姿勢進行,避免彎腰姿勢下種花。
- 塗牆: 以梯子提高體位,避免抬頭墊腳跟姿勢進行。
- 提重物: 保持上身挺立,搬提重物時另一腳墊高。
- 伸展運動時避免下腰姿勢: 劈腿頭碰腳,頸脊著地倒立,無靠背盤坐,抬腿拉腳筋等動作。
- 肌力強化運動避免: 仰臥起坐 (頭碰膝)。
- 騎車: 避免坐姿高於手把高度造成骨盤前傾,頸脊後仰姿勢。
六、總結
下背痛之診治首先需有詳細之病因分析,包括結構性與能量性之分析。導正脊椎結構與肌張力上之異常,進而調整整體能量上之失調,即可獲得一定之療效。
References:
Fitzgerald JA, Newman PH, 1976. “Degenerative spondylolisthesis.” J Bone Joint Surg Br, 58(2):184-192.
Hoy, Damian, Christopher Bain, Gail Williams, et al., 2012. “A systematic review of the global prevalence of low back pain.” Arthritis Rheum, 64(6):2028-2037.
Kuklo TR, Lenke LG, Graham EJ, Won DS, et al., 2002. “Correlation of radiographic, clinical, and patient assessment of shoulder balance following fusion versus nonfusion of the proximal thoracic curve in adolescent idiopathic scoliosis.” Spine, 27(18):2013-2020.
Lam OT, Strenger DM, Chan-Fee M, et al., 2018. “Effectiveness of the McKenzie method of mechanical diagnosis and therapy for treating low back pain: literature review with meta-analysis.” J Orthop Sports Phys Ther, 48(6):476-490.
Leri JP, 2018. “Metastatic cancer of the thoracic and lumbar spine presenting as mid- and low back pain in a long distance runner.” J Chiropr Med,17(2):121-127.
Liu Z, Duan Y, Rong X, Wang B, et al., 2017. “Variation of facet joint orientation and tropism in lumbar degenerative spondylolisthesis and disc herniation at L4-L5: a systematic review and meta-analysis.” Clin Neurol Neurosurg, Oct, 161:41-47.
Maccauro G, Spinelli MS, Mauro S, Perisano C, et al., 2011. “Physiopathology of spine metastasis.” Int J Surg Oncol, Aug, 2011:107969.
Meyerding HW, 1956. “Spondylolisthesis: Surgical fusion of lumbosacral portion of spinal column and interarticular facets;use of autogenous bone grafts for relief of disabling backache.” J Int Coll Surg, 25(5):566-591.
Nejati P, Safarcherati A, Karimi F, 2019. “Effectiveness of Exercise Therapy and Manipulation on Sacroiliac Joint Dysfunction: A Randomized Controlled Trial}.” \text{Pain Physician, 22:53-61.
Peng B, Hou S, Wu W, Zhang C, et al., 2006. “The pathogenesis and clinical significance of a high-intensity zone (HIZ) of lumbar intervertebral disc on MR imaging in the patient with discogenic low back pain.” Eur Spine J, 15(5):583-587.
Riebe D, Ehrman JK, Liguori G, Magal M, 2018. ACSM’s guidelines for exercise testing and prescription.10th ed. Philadelphia: Wolters Kluwer.
Riebe D, Ehrman JK, Liguori G, Magal M, 2018. ACSM’s guidelines for exercise testing and prescription.10th ed. Philadelphia: Wolters Kluwer.
Seo HR, Kim TH, 2019. “The effects of Gyrotonic expansion system exercise and trunk stability exercise on muscle activity and lumbar stability for the subjects with chronic low back pain.” J Exerc Rehabil, 15(1):129-133.
Smorgick Y, Mirovsky Y, Baker KC, Gelfer Y, et al., 2013. “Predictors of back pain in adolescent idiopathic scoliosis surgical candidates.” J Pediatr Orthop, 33(3):289-292.
Smorgick Y, Mirovsky Y, Fischgrund JS, Baker KC, et al., 2014. “Radiographic predisposing factors for degenerative spondylolisthesis.” Orthopedics, 37(3):e260-e264.
Song, Jian, Hong-Li Wang1, Xiao-Sheng Ma, et al., 2017. “The value of radiographic indexes in the diagnosis of discogenic low back pain: a retrospective analysis of imaging results.” Oncotarget, 8(36):60558-60567.
Sponseller PD, Flynn JM, Newton PO, Marks MC, et al., 2012. “The association of patient characteristics and spinal curve parameters with Lenke classification types.” Spine, 37(13):1138-1141.
Swain, Michael Steven, Nicholas Henschke, Steven James Kamper et al., 2014. “An international survey of pain in adolescents.” BMC Public Health, 14(1):447.
Szulc P, Wendt M, Waszak M, Tomczak M, et al., 2015. “Impact of McKenzie method therapy enriched by muscular energy techniques on subjective and objective parameters related to spine function in patients with chronic low back pain.” Med Sci Monit, 21:2918-32.
Tan B, Sien NC, Lim I, 2015. Exercise prescription guide. Singapore: Changi General Hospital: Marshall Cavendish Editions.
Teraguchi, Masatoshi, Yoshimura N, Hashizume H, Muraki S, et al., 2014. “Prevalence and distribution of intervertebral disc degeneration over the entire spine in a population-based cohort: the Wakayama spine study.” Osteoarthritis Cartilage, 22(1):104-110.
Tonosu, Juichi, Inanami H, Oka H, Kasuhira J, et al., 2016. “Diagnosing discogenic low back pain associated with degenerative disc disease using a medical interview.” PLoS One, 11(11):e0166031.
Wang W, Zhu Z, Zhu F, Sun C, et al., 2012. “Different curve pattern and other radiographical characteristics in male and female patients with adolescent idiopathic scoliosis.” Spine, 37(18):1586-1592.
Wiltse LL, Newman PH, Macnab I., 1976. “Classification of spondylolysis andspondylolisthesis.” Clin Orthop Relat Res, Jun, 117:23-29.
文章來源:新醫學雜誌 Vol2 No2
